Excelência em Cirurgia Plástica Avançada
Dr. Caue Jorge oferece técnicas inovadoras e sofisticadas em contorno corporal, utilizando tecnologia de ponta para resultados superiores e segurança em cada procedimento realizado.
2500+
Vidas Trasformadas
Tecnologia Avançada
Inovação em cirurgia plástica com segurança e resultados superiores.


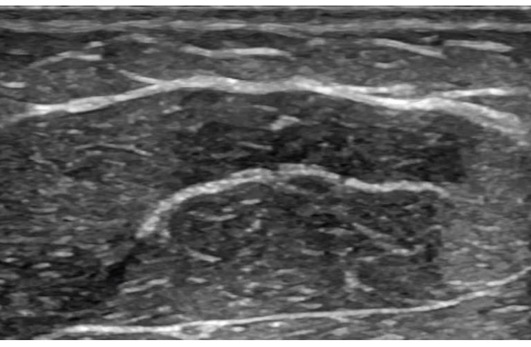
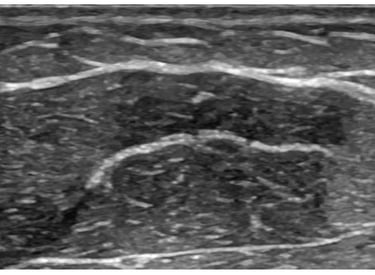
Ultrassom Intraoperatório
O ultrassom intraoperatório permite mapear estruturas e avaliar a espessura da gordura em tempo real, aumentando a precisão da lipoaspiração e a segurança do procedimento. Uma tecnologia essencial para resultados refinados e personalizados.


Argoplasma Avançado
O Argoplasma utiliza jato de plasma ionizado para promover retração imediata da pele, melhorando a firmeza e a qualidade do tecido com precisão milimétrica. Uma tecnologia avançada que potencializa os resultados da cirurgia plástica corporal.




BodyTite
O BodyTite entrega radiofrequência profunda e controlada, promovendo retração de pele e coagulação de gordura simultaneamente. Uma solução moderna e eficaz para resultados mais firmes, definidos e com recuperação otimizada.
Morpheus 8
O Morpheus8 atua nas camadas profundas da pele com microagulhamento e radiofrequência fracionada, estimulando colágeno, retraindo a pele e refinando a textura com precisão. Ideal para potencializar os resultados do contorno corporal com tecnologia minimamente invasiva.
→
→
→
→
Lipoenxertia Muscular
A Enxertia Muscular proprociona mais naturalidade e nos permite avançar além das tecnologias anteriores


Quantum RF
Escreva seu texto aqui...O Quantum RF combina radiofrequência fracionada com controle de profundidade, promovendo retração de pele e estímulo de colágeno com máxima segurança. Ideal para otimizar os resultados da lipoaspiração e definir contornos com precisão.


Safer
A técnica SAFER (Separation, Aspiration and Fat Equalization with Redistribution) proporciona uma lipoaspiração mais homogênea, segura e com menor trauma tecidual. Ideal para contornos suaves, preservando a integridade da pele e otimizando a recuperação.


Câmera Termica
A câmera térmica permite o monitoramento em tempo real da temperatura da pele durante a cirurgia, garantindo maior segurança na aplicação de tecnologias térmicas como radiofrequência e plasma. Um recurso avançado que preserva tecidos e eleva a precisão dos resultados.
